Директор Закарпатского противоопухолевого центра Андрей Русин обратился к украинцам с заявлением о том, что коронавирус не является выдуманной болезнью.
Видео мужчина записал в Центре легочных заболеваний в Ужгороде. Врач уже более недели лечится от коронавирусной пневмонии. Русин попал в число тех медиков, которые заразились COVID-19, контактируя с заболевшими пациентами.
«Хочу обратиться к людям, которые говорят, что это фейк, отмывание средств. Новый непонятный до конца вирус объявил нам войну. И это надо понимать, как биоатаку. Вирус смертельно опасен, более полумиллиона людей в мире уже умерло… Люди, которые говорят, что не нужно носить маску, что заражение не угрожает — это люди со сниженным интеллектом», — говорится в обращении Русина, опубликованном в группе Made in Uzhhorod в Facebook.
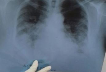
Подтверждает слова Русина врач областной больницы Ужгорода Богдана Булеза. «Больных, к сожалению, не становится меньше! „Скорые“ с сиренами ежедневно подвозят все новых и новых пациентов… Уже все устали от карантина… Поверьте, мы тоже устали… Вирус существует, он тяжелый, поэтому не пренебрегайте своим и нашим здоровьем, берегите себя и своих родных!» — пишет врач на странице в Facebook.
Специально для скептиков доктор опубликовала рентгеновские снимки своих пациентов, больных COVID-19.

Комментарии
Маргарита
Добавить комментарий